النسخة الكاملة

استئصال ورم عنقي نادر في "الحسين للسرطان"

الإثنين-2025-06-23 12:04 pm
جفرا نيوز -
في إنجاز طبي يعد الأول من نوعه على مستوى الأردن والمنطقة نجح فريق طبي متخصص في مركز الحسين للسرطان بقيادة الدكتور محمد خليل البربراوي، في استئصال ورم خبيث نادر (cervical sarcoma) بحجم 10×7 سم تمركز أمام الفقرات العنقية الثالثة والرابعة والخامسة وامتد إلى الثقبة الفقرية، مؤثرا على الشريان الفقري.

ويبلغ المريض 31 عاما والذي قد عانى من صعوبة شديدة في التنفس والبلع، مما استدعى إجراء فتحة تنفسية في الحنجرة (Tracheostomy)، وتركيب أنبوب تغذية مباشر إلى المعدة (PEG) قبل الجراحة.

من جهته أكد مدير عام المركز الدكتور عاصم منصور، أن العملية تجسد المستوى المتقدم الذي وصل إليه المركز في التعامل مع أعقد الأورام وأكثرها ندرة وخطورة.

وقال "نفتخر بهذا الإنجاز الذي تحقق بسواعد فريقنا الطبي، ونؤمن أن الاستثمار في الكفاءات والتقنيات المتقدمة هو ما يجعلنا قادرين على تقديم الأمل والشفاء لمرضانا في أدق الحالات".

بدوره أوضح رئيس قسم جراحة العمود الفقري الدكتور البربراوي، أن الخطة العلاجية شملت إغلاق أحد الشريانين الفقريين مسبقا من خلال تدخل بالأشعة، تضمن اختبارا بالبالون (Balloon Occlusion Test)، أعقبه إغلاق دائم باستخدام ملفات حلزونية (Coil Embolization)، لضمان أمان الجراحة.

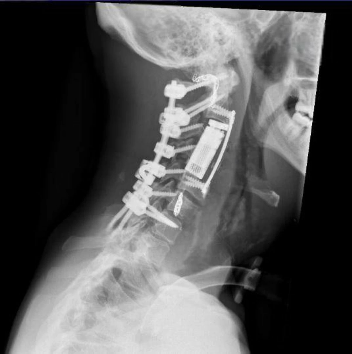
وتابع بأنه في المرحلة الجراحية تم تثبيت العمود الفقري من الفقرة الأولى إلى السابعة عبر عملية خلفية دقيقة، واستئصال الورم بالكامل بطريقة En Bloc، أي كتلة واحدة من الجهة الأمامية للعنق، كما تم تعويض الفقرات المزالة باستخدام قفص فقري تمددي (Expandable Cortectomy Cage)، مع تثبيت أمامي لضمان الاستقرار الكامل.

وأشار الفريق إلى أن هذه العملية لا ترى إلا في مراكز عالمية متقدمة، نظرا لتشريح الورم الدقيق، حيث تم استئصال أكثر من فقرة وشريان رئيسي محيط.

ولفتوا إلى أنه بعد شهرين على الجراحة، تمكن المريض من التنفس والأكل بصورة طبيعية بعد إزالة الأنابيب، وهو يتمتع اليوم بحالة صحية مستقرة.

ونوه البربراوي إلى أن هذا الإنجاز يمثل نموذجا للعمليات الجراحية عالية الخطورة، ويعكس التميز الطبي الأردني في مجال أورام العمود الفقري المعقدة، بفضل التكامل بين التخصصات والخبرة الطبية المتقدمة.

© جميع الحقوق محفوظة لوكالة جفرا نيوز 2024
تصميم و تطوير